flowchart LR HN((Human Neuroscience))
University of Washington
2024-10-06
https://arokem.github.io/slides/slides/what-should-we-do.html




Teresa Gomez
flowchart LR HN((Human Neuroscience))
flowchart LR ML((Machine learning and \n statistics))
flowchart LR ML((Open data and \n open-source software))
::::







Jim Gray unveiled a vision of the fourth-paradigm… scientific methodology has evolved into three distinct archetypes: empiricism, theory, and computation. The Fourth Paradigm is an entirely new phase that involves data-intensive practices. Termed “eScience,” this fourth paradigm unites theory, experimentation, and computation
January 11, 2007, National Research Council

What can we ask with data science?














:::







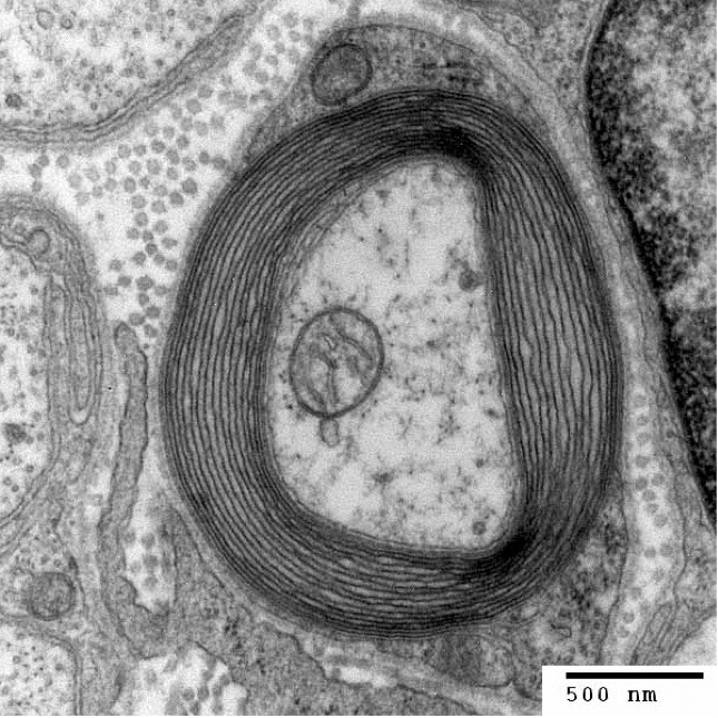
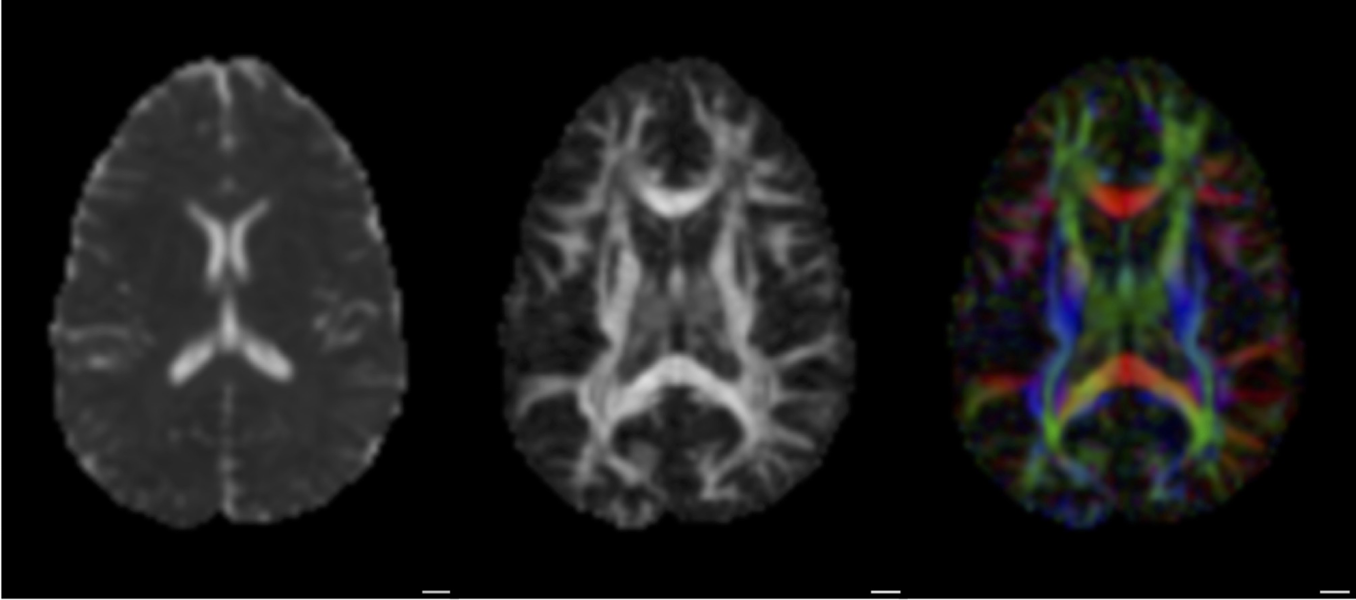
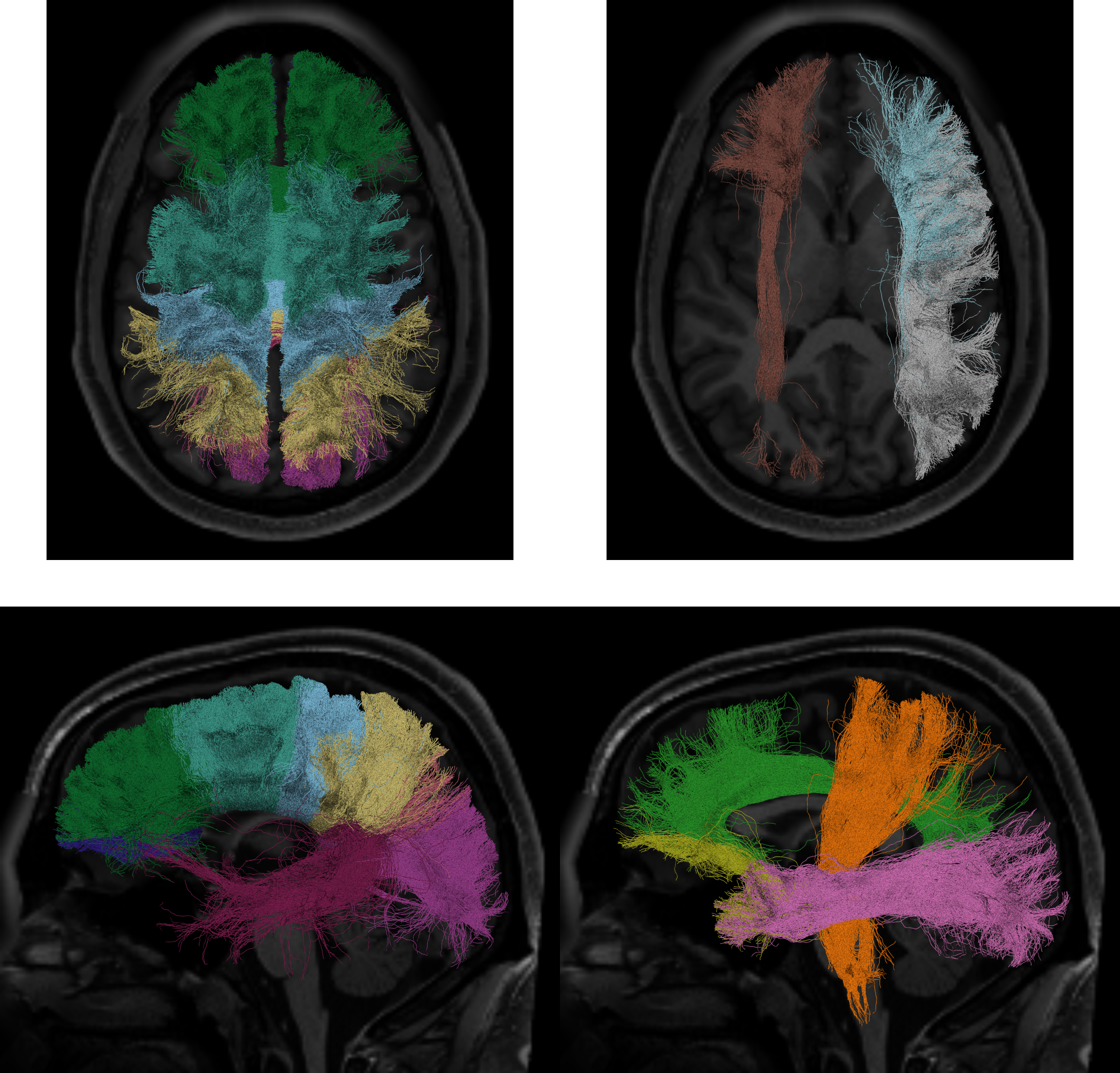
Basser (1994), Basser and Pierpaoli (1996)



















